An Autumn Application Approach to Spring Dead Spot
An Autumn Application Approach to Spring Dead Spot
What Is Spring Dead Spot (SDS)?
Spring Dead Spot (SDS) is a destructive disease of couch grass caused by fungi in the Ectotrophic Root Infecting (ERI) group. This group also includes other important turf diseases such as couch grass decline and take-all patch, but differences in symptoms and host specificity allow SDS to be treated as a distinct problem.
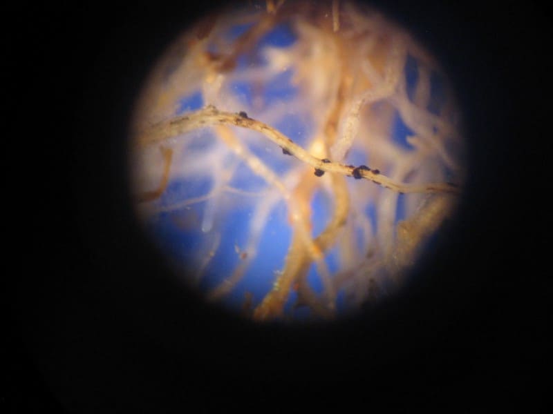
A key feature of SDS is that it is primarily a root-infecting disease. Runner hyphae travel along the root structures and peg into the roots at intervals. Over time, this leads to dark brown to black roots and very slow regrowth into affected areas, which often remain thin, barren or easily colonised by weeds.
Critically, SDS symptoms you see in spring come from infections that occurred the previous late summer and autumn, which is why understanding and treating during the infection window is essential
How to Identify Spring Dead Spot
Spring Dead Spot is usually first noticed as the turf comes out of dormancy:
-
Circular patches of bleached, straw-coloured dead couch appear in spring.
-
When surrounding grass tries to grow back into these areas, it often remains stunted and unthrifty.
-
Patches can remain bare for long periods and are prone to weed colonisation.
Below the surface, affected plants show:
-
Roots turning dark brown to black, typical of ERI infections.
-
Runner hyphae visible along the roots, pegging into the root tissue at intervals.
Because these symptoms develop long after infection, by the time you can clearly see SDS on the surface, it is too late to “cure” the damage. Management must focus on prevention, not spring rescue.

Biology & Infection Window
SDS activity is closely tied to soil temperature and root activity in warm-season grasses.
Late in summer, as soil temperatures gradually fall, couch grass root activity declines. At the same time, the infecting potential of the SDS pathogen increases. The competitive balance shifts in favour of the pathogen, and this crossover point forms the critical infection window.
-
There is general agreement that the key infection period is around 20°C average soil temperature.
-
This understanding is based on relatively recent work, not outdated assumptions.
Infection that occurs in late summer to autumn then expresses as visible symptoms 5–6 months later when couch resumes growth in spring. At that point, the affected spots cannot be meaningfully treated with fungicides. Renovation, plugging or prolonged nursing through summer may be needed, and even then, results can be inconsistent.
Because the exact timing of the crossover point varies between regions and seasons, programs must be built around a window, not a fixed calendar date.
Signs of Damage & What SDS Does to Turf
The main impact of Spring Dead Spot is the creation of persistent, unsightly and difficult-to-recover patches in couch surfaces:
-
Circular, bleached, straw-coloured patches in spring that contrast sharply with surrounding healthy turf.
-
Slow or poor recolonisation from surrounding couch, often leaving the area open well into the growing season.
-
Increased risk of weed invasion in bare or weakened patches.
Because the roots are heavily compromised, these areas often do not respond well even to good growing conditions. For golf and high-use couch sportsfields, SDS patches can significantly affect both presentation and surface performance.
How to Control & Manage Spring Dead Spot
Effective SDS management relies on timing, multiple applications, and correct placement into the rootzone. Because infections occur in late summer to autumn, long before symptoms appear, fungicides must be applied during this window not in spring.
The infection point generally aligns with average soil temperatures dropping to around 20°C, but this varies by region and year. To cover this shifting window, programs use repeated applications:
-
SE Queensland: typically three applications, starting around the last week of February (or early March if heat persists), repeated every 21–28 days.
-
Sydney: similar approach, often two or three sprays depending on whether warm conditions extend into May.
-
Victoria: usually two applications, as autumn is shorter and arrives earlier.
A range of fungicides are registered, including triazoles, strobilurins, and newer SDHI options (e.g., Velista). On ultra-dwarf couch greens in QLD and Northern Rivers, full-rate triazoles should be used only for the first application, as these surfaces become more sensitive once temperatures drop. Later sprays should rely on reduced triazole rates or non-triazole chemistry. Standard couch in sportsfield settings is generally less susceptible to this issue.
Application technique is critical. SDS is a root-infecting pathogen, so fungicides must reach the rootzone. Apply using high water volumes (800 L+/ha) with 08 nozzles or floodjets to ensure the spray rolls off the foliage and onto the soil. Always wash in immediately after spraying to move the product to the infection site.
Common Questions About Spring Dead Spot (FAQs)
-
Can I fix Spring Dead Spot once I see patches in spring? No. By the time symptoms appear, the infection occurred months earlier. At that stage, fungicides will not “cure” the spots. Recovery relies on renovation, plugging, or slow natural recolonisation.
-
Why do I need more than one application in autumn? Because the exact infection window cannot be pinpointed and shifts by region and year. Multiple applications at 21–28 day intervals help ensure the fungicide is active when soil temperatures cross the critical ~20°C point.
-
Do all regions need three applications? No. Warmer regions with longer autumn transitions (e.g. SE QLD, sometimes Sydney) often benefit from three applications. Cooler regions with shorter, earlier autumns (e.g. Victoria) typically suit a two-application program.
-
Why is spray volume so high? SDS attacks the roots, not just foliage. High volumes and suitable nozzles help get product off the leaf and onto the soil, and wash-in moves it into the rootzone where it can actually protect the plant.
-
Are triazoles safe on all couch surfaces? Triazoles remain important tools, but on ultra-dwarf couch greens in warm regions, full-rate use late in the season can interact with naturally slowing growth. Limiting full-rate triazoles to the first application and then shifting to mixtures or non-triazole options is a safer strategy.







